無痛權威,智齒專科
患者福音,千萬級3D AI透視導航,精準、神速、無痛
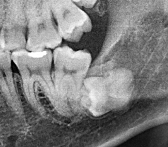
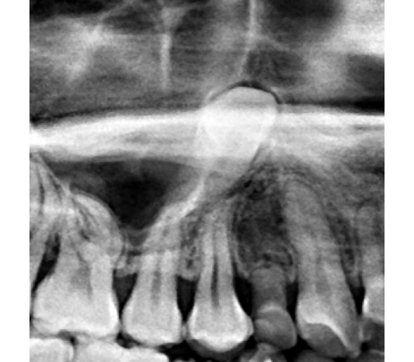
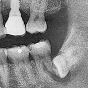
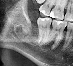
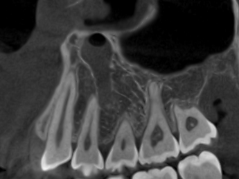
避免神經傷害,避免口竇相通,避免術中術後大出血,遠離術後腫脹不適感
★ 有機會免拆線、免住院三天(省$18000)、免全身麻醉、免舒眠麻醉(省$25000以上),可免二階段拔牙(省$25000)
本院術後無痛率超過九成!!!
想痛都很困難
避免神經傷害,避免口竇相通,避免術中術後大出血,遠離術後腫脹不適感
★ 有機會免拆線、免住院三天(省$18000)、免全身麻醉、免舒眠麻醉(省$25000以上),可免二階段拔牙(省$25000)
本院術後無痛率超過九成!!!
想痛都很困難
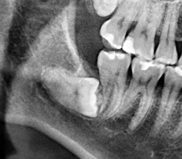
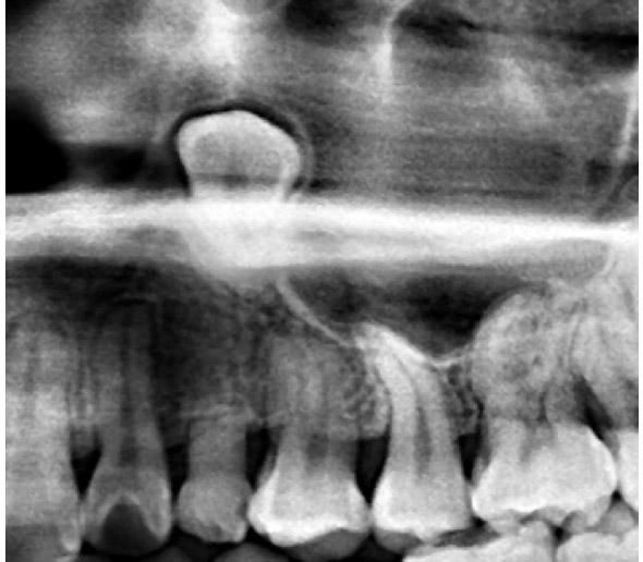
本院為40年 口腔外科專業診所,主攻”安全、無痛”、專拔高風險(牙根與神經交錯或緊貼)、高難度、深度阻生智齒手術。
★有機會免拆線、免住院三天(省$18000)、免全身麻醉、免舒眠麻醉(省$25000以上),可免二階段拔牙(省$25000)
保險用診斷證明書、自費及掛號收據,當天可取。
為了健保患者拔智齒的安全,遠離唇麻、舌麻、口鼻竇炎、大出血...等併發症,
☆本院特別巨資增設 ”千萬級3D AI透視電腦斷層”,並配合“成骨膠原蛋白”施作 (上述兩項目前健保無給付),讓您遠離神經傷害、口鼻竇(炎)相通...等併發症,除健保之外,難免會有避免併發症風險的自費項目,網路上經常會有看到智齒拔完後唇麻、舌麻、口鼻竇相通等併發症,在本院嚴格自我要求下,此類併發症在本院幾乎趨近於零。



外面一顆要拔兩個小時,本院一顆十分鐘






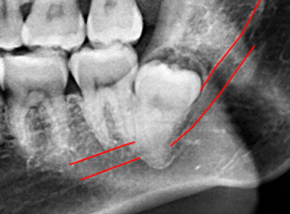
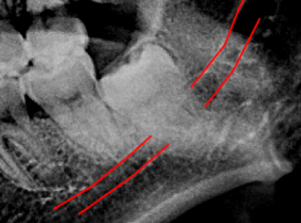
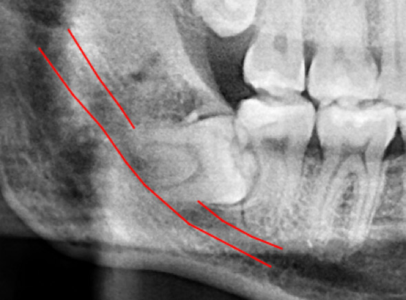
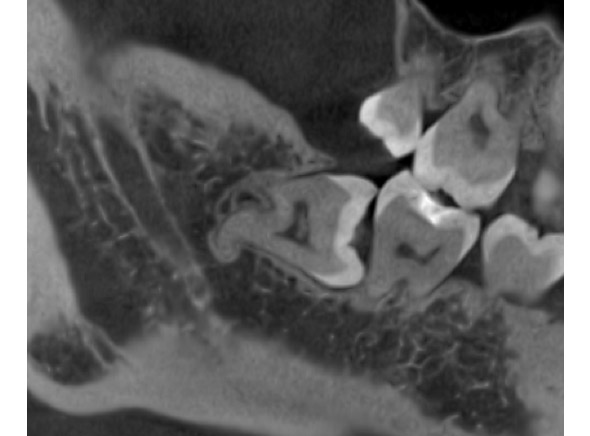
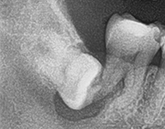
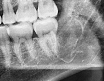
(兩條紅線中間黑色區域即為神經管)
外面拔完時常術後唇麻舌麻,本院發生趨近於零



外面拔時易斷裂於骨頭內而難以取出
之後手術部分,我們依據手術難度分為四個等級,其收費標準從簡單到難為:
上述皆為單顆價格,同時我們每顆牙齒都會附贈一顆成骨膠原蛋白(市值5500NTD/顆),幫助您傷口癒合及骨頭生長更快速順利~
P.s 上面港幣收費為本院所了解到香港私人診所單就拔牙手術所收取的費用。麻醉藥、拍X光片、拍CBCT、其餘手術所需耗材等費用尚未包含其中,因此費用可能遠高於此處顯示之金額。
The surgical procedure itself is categorized into four levels based on complexity, with the following pricing from simplest to most difficult:
The prices listed above are for a single tooth. Each tooth will also come with a complimentary bone-building collagen plug (valued at 5500NTD/piece) to help your wound heal and promote faster and smoother bone growth.
P.S. The US dollar prices listed above are the fees charged by private clinics in USA for tooth extraction surgery, as understood by our clinic. Anesthesia, X-rays, CBCT scans, and other surgical supplies are not included; therefore, the actual cost may be significantly higher than the amounts shown here.
| 09:00 - 11:30 | 13:30 - 17:30 | 17:30 - 20:30 | |
| 星期一 | 休診 | 葉泰榮 | |
| 星期二 | 休診 | 葉泰榮、葉平萱 | |
| 星期三 | 葉泰榮 | 休診 | |
| 星期四 | 葉泰榮 | ||
| 星期五 | 葉泰榮、葉平萱 | 休診 | |
| 星期六 | 葉泰榮、葉平萱 | 休診 | |
| 星期天 | 固定休診 | ||
| 星期一 | 星期二 | 星期三 | 星期四 | 星期五 | 星期六 (隔週休診) |
星期天 | |
| 早診 09:00 - 11:30 |
休診 | 休診 | 葉泰榮 | 葉泰榮 | 葉泰榮 葉平萱 |
葉泰榮 葉平萱 |
固定休診 |
| 午診 13:00 - 17:30 |
葉泰榮 | 葉泰榮 葉平萱 |
|||||
| 晚診 17:30 - 20:30 |
休診 | 休診 | 休診 |
內湖國小(較近):
21、21直、247、247區、247直、267、278、28、552、
553、小2
湖光國宅(其次):
0東、214、222、286、286副、287、287區、620、620區、
652、677、681、紅2、紅3、藍20區
西湖圖書館(湖光教會):
0東、681、286、286副、1801、287、287區、287夜、677、
紅2、藍20區、214、222、620、620區、278
港墘派出所(最遠):
551、棕16、藍7、藍26
港墘站: 從1號出口出站,往港墘路方向直行,約5分鐘路程
文德站: 從2號出口出站,往燦坤方向直行,到郵局後過馬路,
約5分鐘路程
內湖國小兩側有路邊停車格(20元/小時)
中華電信旁有收費停車場(20元/半小時)
距離診所約50公尺